Scroll to top

Casos

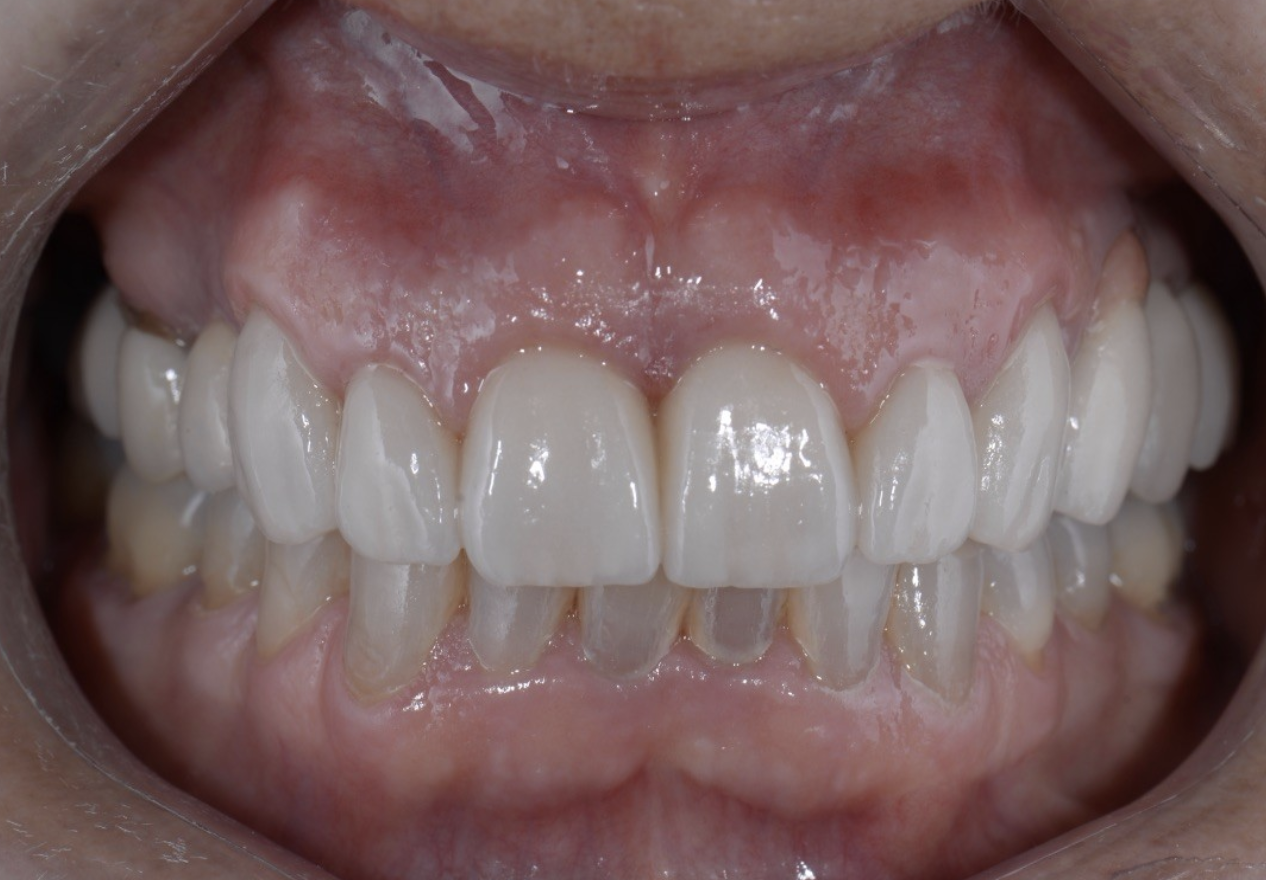
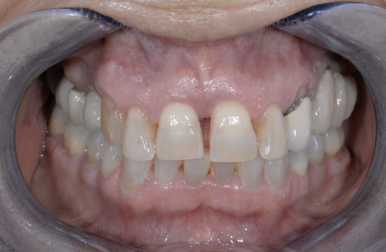
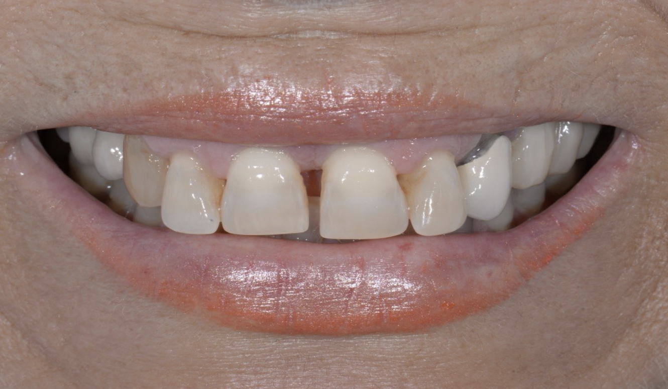
Espai entre dents (diastemes)

Pacient amb malposició dental i espais entre dents. També presenta mal ajustament de la corona del caní superior esquerre. Es fa tractament totalment ceràmic.

  • Plan de Recuperación, Transformación y Resiliencia
    Financiado por la Unión Europea. NextGenerationEU
Obrir chat
1
Hola 👋
Com podem ajudar-te?