Scroll to top

Casos

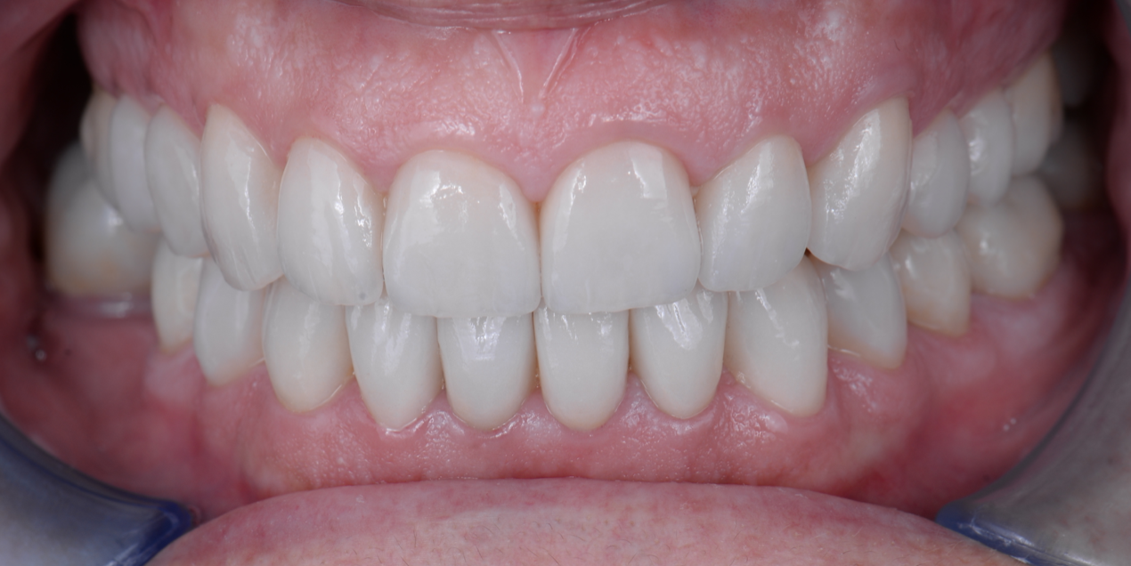
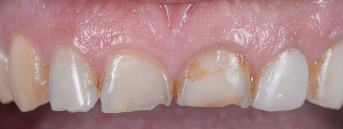
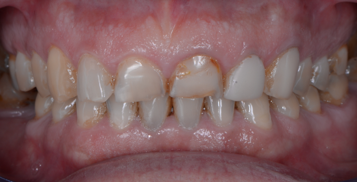
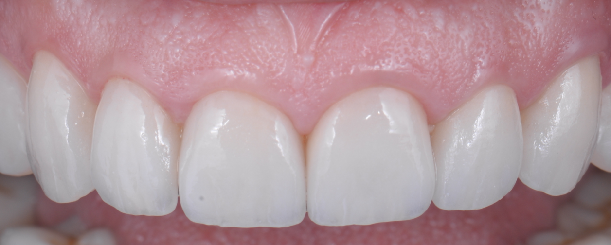
Desgast dental

Pacient amb desgast dental degut a bruxisme. Es fa una rehabilitació mínimament invasiva conservant l’estructura romanent de les dents amb carilles de ceràmica.

  • Plan de Recuperación, Transformación y Resiliencia
    Financiado por la Unión Europea. NextGenerationEU
Obrir chat
1
Hola 👋
Com podem ajudar-te?