Scroll to top

Casos

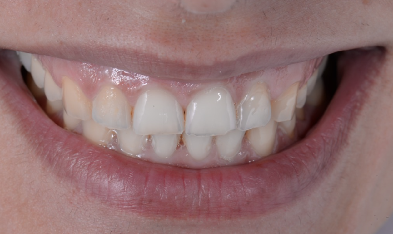
Dents petites i excés de geniva

Pacient que es veu les dents petites i desgastades. Realitzant allargament de corona i millora estètica amb carilles solucionem el cas.

  • Plan de Recuperación, Transformación y Resiliencia
    Financiado por la Unión Europea. NextGenerationEU
Obrir chat
1
Hola 👋
Com podem ajudar-te?