Scroll to top

Cases

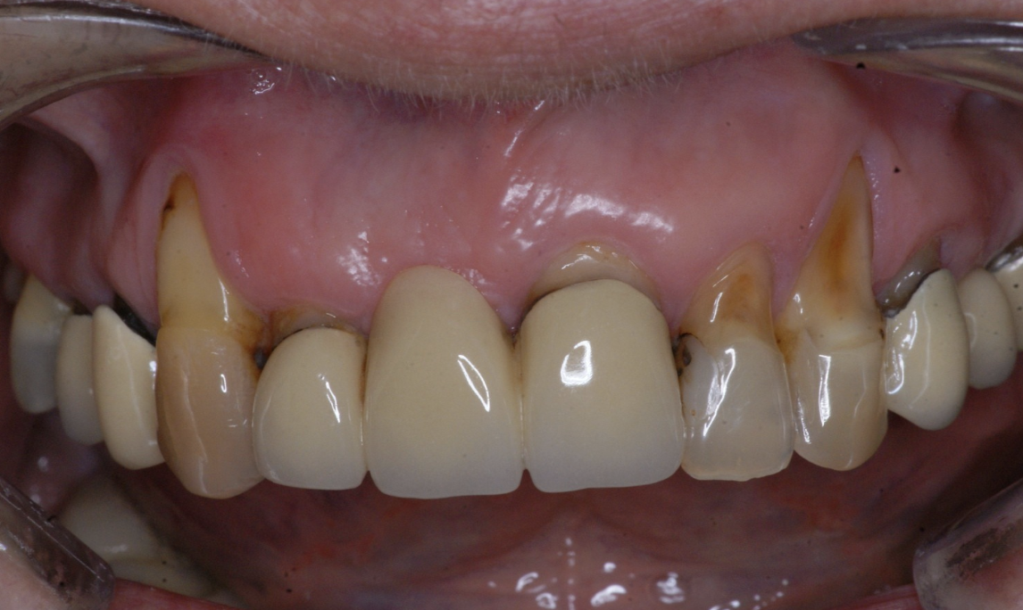
Gum retraction or loss

Patient with problems of gum loss and poor fit of dental prostheses. After carrying out a multidisciplinary treatment, where different professionals act in coordination, a great result is achieved by performing gum grafts and ceramic prostheses.

  • Plan de Recuperación, Transformación y Resiliencia
    Financiado por la Unión Europea. NextGenerationEU
Open chat
1
Hello 👋
How can I help you?