Scroll to top

Cases

Bruxism

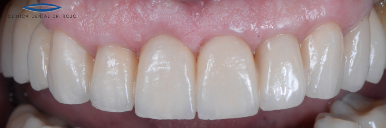
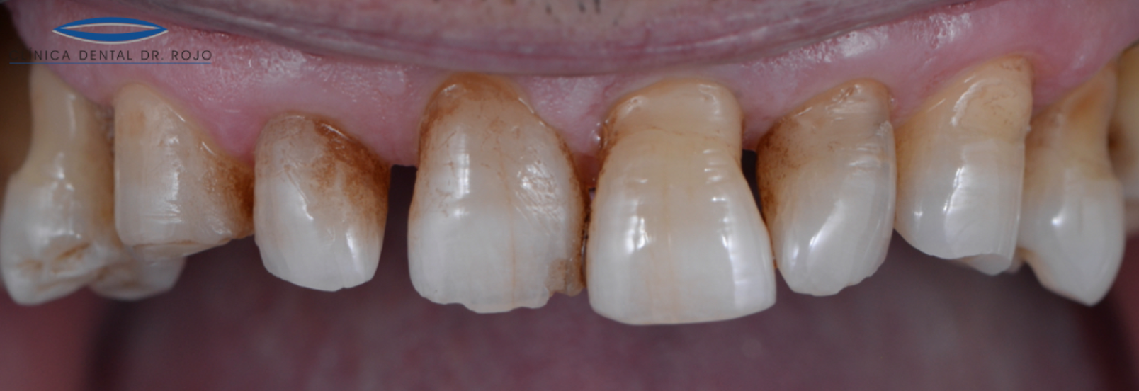
Patient with wear and tear and diastema. Complete oral rehabilitation is carried out with
fully ceramic crowns recovering function and aesthetics

  • Plan de Recuperación, Transformación y Resiliencia
    Financiado por la Unión Europea. NextGenerationEU
Open chat
1
Hello 👋
How can I help you?