Scroll to top

Cases

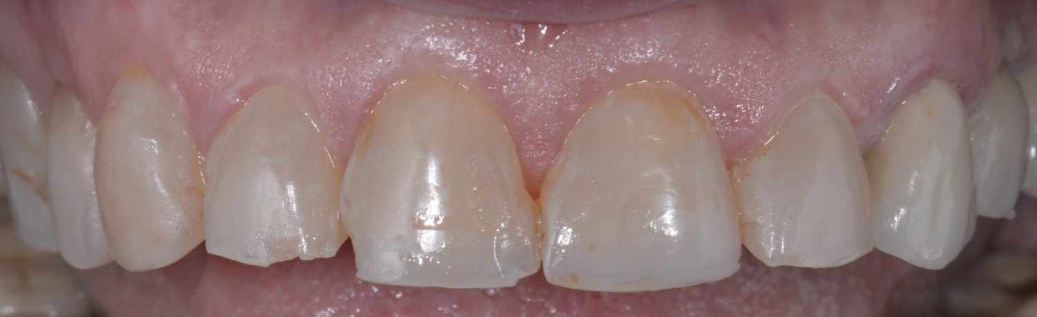
Veneers for fractured teeth

Patient with dental fractures that are reconstructed with dental veneers.

  • Plan de Recuperación, Transformación y Resiliencia
    Financiado por la Unión Europea. NextGenerationEU
Open chat
1
Hello 👋
How can I help you?