Scroll to top

Cases

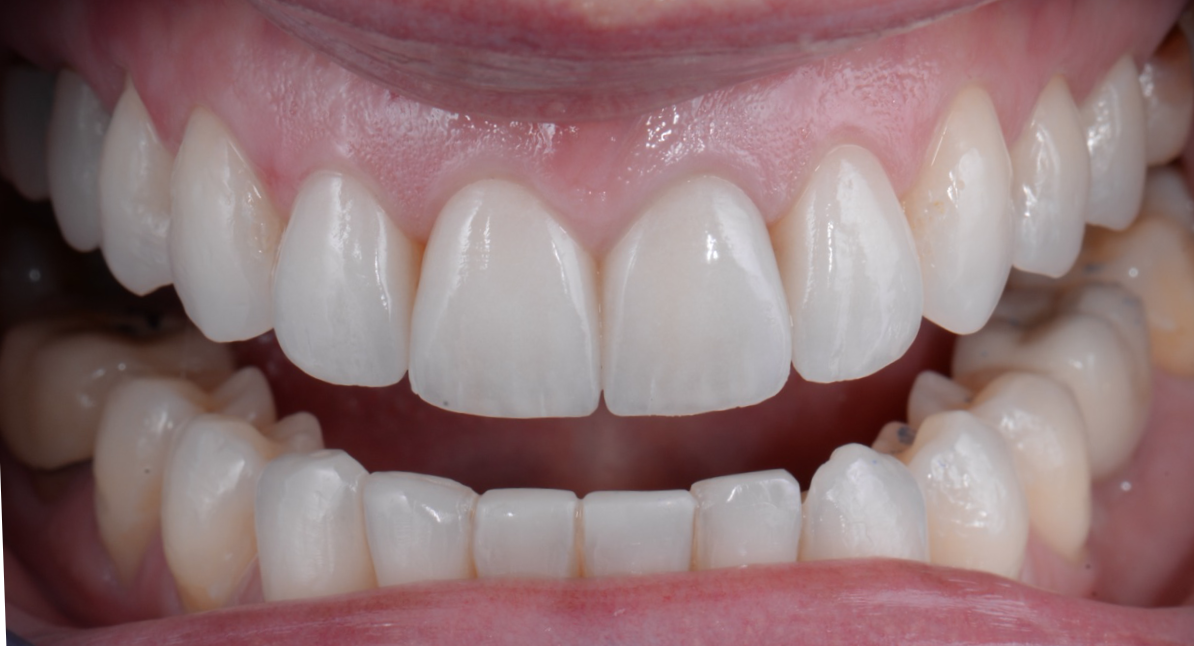
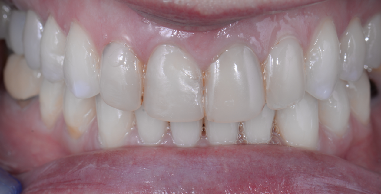
Veneers

Aesthetic improvement with 4 veneers on the upper incisors.

  • Plan de Recuperación, Transformación y Resiliencia
    Financiado por la Unión Europea. NextGenerationEU
Open chat
1
Hello 👋
How can I help you?